Welt-Schlaganfalltag 2018 - Schlaganfallbehandlung mittels Thrombektomie 25.10.2018
Radiologische und neurologische Expertise am LKH Feldkirch
In Vorarlberg werden ca. 60% aller Schlaganfälle in der so genannten Stroke Unit (Schlaganfall-Einheit) am Schwerpunktrankenhaus Feldkirch behandelt. Hier arbeiten alle Disziplinen von der Neurologie über die Innere Medizin, die Anästhesie und Radiologie intensiv zusammen, um den Betroffenen zu helfen. Radiologisch gibt es neue interventionelle Behandlungsmethoden, die für bestimmte Schlaganfall-Patienten enorme Behandlungsvorteile bieten. Eine davon ist die Thrombektomie. Anlässlich des Welt-Schlaganfall-Tags am 29.10.2018 stellt das LKH Feldkirch diese Behandlungsmethode vor.
Der Schlaganfall ist die dritthäufigste Todesursache in den westlichen Industrienationen. Jährlich erleiden etwa 24.000 Österreicher, davon rund 1.000 Vorarlberger einen Schlaganfall. „Ein Schlaganfall ist immer ein Notfall. Das Motto lautet hier: Time is brain - Zeit ist Hirn“, erklärt der Leiter von Vorarlbergs Stroke Unit am LKH Feldkirch, Prim. Dr. Philipp Werner. Circa 60% der Schlaganfallpatienten kommen primär nach Feldkirch. Die Entscheidung, welche Patienten an die Stroke Unit gebracht werden und welche nicht, fällt entweder bereits durch die Rettung bzw. die Notärzte am Ort des Auftretens des Schlaganfalls oder in den Notfallaufnahmen der peripheren Krankenhäuser.
Time is brain - Zeit ist kostbar
Die häufigste Form des Schlaganfalls entsteht durch ein Blutgerinnsel im Gehirn. Das Gerinnsel verstopft eines oder mehrere Blutgefäße und verursacht durch die auftretende Minderdurchblutung einen Sauerstoffmangel, welcher zum sog. Hirninfarkt führt. Zeit ist hier kostbar. Eine rasch einsetzende Behandlung innerhalb der ersten 4,5 Stunden (z.B. Lysetherapie - Auflösen des Blutgerinnsels durch ein intravenös verabreichtes Medikament) kann das Ausmaß des Schadens am Gehirngewebe verringern. Die Lysetherapie kann im Einzelfall auch in den Abteilungen für Innere Medizin durchgeführt werden, um keine kostbare Zeit zu verlieren.
Thrombektomie: neue Behandlungsmethode mit Stents für Gerinnsel im Hirn
Bei Patienten mit eindeutigem Schlaganfall, die sehr schnell in ein Zentrum kommen, besteht die Möglichkeit, nach der klinischen Diagnose des Schlaganfalls und der Untersuchung mit Computertomographie (CT) oder Magnetresonanztomographie (MRT) das erwähnte Blutgerinnsel mittels einer Infusionstherapie (="Lysetherapie)" zu lysieren, also aufzulösen. So kann das zuvor verstopfte Blutgefäß wieder durchgängig gemacht und der Sauerstoffmangel aufgehoben werden. Dies ist jedoch nur innerhalb der ersten 4,5 Stunden nach Beginn der Symptomatik möglich. Und: je früher behandelt wird, umso besser wirkt die Therapie! Allerdings kann ein großes (über 8mm langes) Blutgerinnsel nur sehr selten durch die Lyse aufgelöst werden.
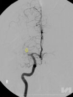
Hier besteht bei einem Teil der Patienten die Möglichkeit, das Blutgerinnsel mechanisch mittels eines Katheters - ähnlich dem Herzkatheter - zu entfernen: Das Gerinnsel wird direkt über ein Maschengitter (ein 4-6 mm großer sog. Stent) herausgezogen oder abgesaugt. „Katheter werden - innerhalb der ersten 6 Stunden nach dem Schlaganfall - mittels eines Microkatheters über die Leiste bis in das Gehirn des Patienten vorgeschoben, und zwar an jene Stelle, an welcher das Blutgerinnsel (Thrombus) die Schlagader im Hirn verstopft. Dort wird der Stent geöffnet, das Gerinnsel bleibt im feinen Metallnetz hängen und kann mittels Katheter herausgezogen und aus dem Körper entfernt werden (= Ektomie - Herausschneiden, Herausholen)“, führt der interventionelle Radiologe OA Dr. Thomas Haglmüller, Experte in der interventionellen Behandlung von Schlaganfällen, aus. Die Thrombektomie ist somit eine mechanische Methode, um die Gefäße zu eröffnen. Eine Behandlung kann zwischen 30 Minuten und 2 Stunden dauern. Dieses Vorgehen ist durch Studien bestätigt worden. Voraussetzungen, um eine Thrombektomie durchführen zu können, ist neben der Größe des Gerinnsels aber auch seine Lage: Die Therapie ist nur dann anwendbar, wenn das Gerinnsel die größeren Arterien im Gehirn verschließt - sie ist somit nicht für alle Hirnregionen geeignet. „Mit der Thrombektomie können wir große Gefäße im Gehirn schneller und vor allem effizienter eröffnen, um die Schädigung zu verringern“, erklärt Dr. Haglmüller. Seit 2 Jahren steht Schlaganfall-Patienten in Vorarlberg diese neue Behandlungsmethode zur Verfügung, insgesamt werden jährlich 40-50 Patienten mittels dieser Methode erfolgreich behandelt. Wichtig ist, dass die Betroffenen rechtzeitig bzw. ohne Verzögerung ins Zentrum gebracht werden. Nur so haben sie eine Chance!
Stroke Unit - Bündelung der Kompetenzen Die Vorteile der Stroke Unit sind die Bündelung der Kompetenzen und die im Vergleich zur Normalstation intensiveren Überwachungsmöglichkeiten der Erkrankten. „Am LKH Feldkirch haben wir Neurologen rund um die Uhr Internisten und Kardiologen, Radiologen und Anästhesisten sowie spezialisiertes Pflegepersonal zur Stelle. Wichtig ist auch das durchgehende Überwachen der Vitalparameter (EKG, Puls, Blutdruck, Atmung) bereits ab Zeitpunkt der Aufnahme sowie der rasche Beginn frührehabilitativer Maßnahmen wie Physio- und Ergotherapie sowie Logopädie“, erklärt Prim. Werner.